Kako ta tehnologija radi, objasnio je doktor Larry Norton koji radi na projektu. Naime, radi se o kompjuterski potpomognutoj detekciji koja postoji od kasnih 1990-tih, ali se tehnologija stalno poboljšavam, javlja CNN.
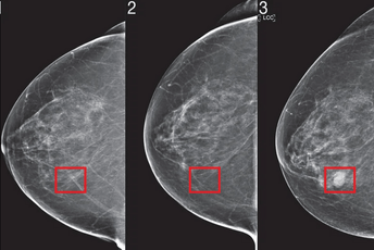
MIT je koristio vještačku inteligenciju kako bi predvidio razvoj raka dojke. Na fotografijama modela koje proizvodi moguće je vidjeti dio tkiva koji je identifikovan kao područje visokog rizika koji je četiri godine kasnije prerastao u karcinom.
"Mnogo je na fotografiji abnormalnosti koje vidite, ali to su zapravo promjene koje nisu karcinom. Ne možemo sve zvati karcinomom jer bi onda svako ko ide na mamografiju morao ići i na biopsiju. To nije baš praktično. Ono što radi MIT je identifikovanje područja visokog rizika prije no što u njima razvije rak dojke. Ono što ljudsko biće može, ali mašine ne, jeste naručivanje dodatnih testova kao što su mamografi sa kontrastom ili magnetna rezonanca", objasnio je Norton, prenosi Klix.ba.
Ističe kako je AI samo još jedan alat koji pomaže radiolozima da bolje interpretiraju nalaze.
"Ovaj test neće zamijeniti rad radiologa. Ovo je medicina i moraju se donositi individualne procjene pacijenata", zaključio je.
Prije dvije godine, tim naučnika iz Laboratorije za kompjuterske nauke i vještačku inteligenciju MIT-a i klinike Jameel demonstrirao je sistem dubokog učenja za predviđanje rizika od raka koristeći samo pacijentov mamograf.
U tu svrhu, oni su svoj "Mirai" algoritam prilagodili kako bi obuhvatili jedinstvene zahtjeve modelovanja rizika.
Mirai modelira pacijentove faktore rizik u više budućih vremenskih tačaka i opcionalno može koristiti i kliničke faktore rizika kao što su starost ili porodična anamneza, ukoliko su dostupni.
Algoritam je takođe dizajniran da proizvodi predviđanja koja su konzistentna sa manjim varijacijama u kliničkim okruženjima, kao što je izbor mamografskog aparata, piše Klix.ba.










