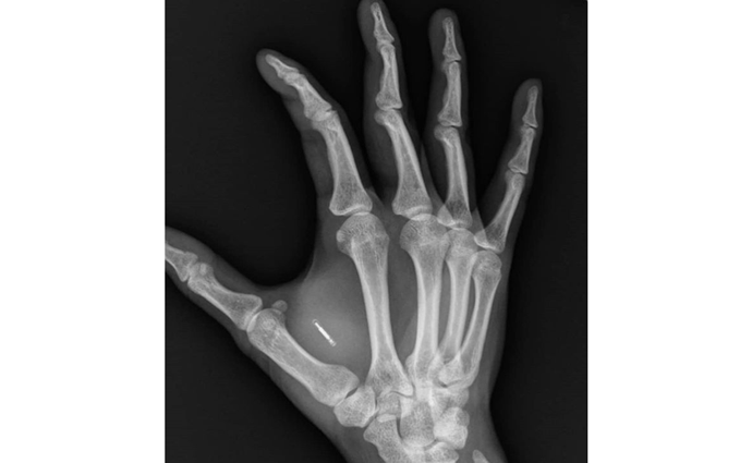
Već oko 4.000 ljudi u Švedskoj, nakon što je ta zemlja zakonom regulisala čipovanje, iskoristilo je mogućnost da između palca i kažiprsta jedne od šaka ugrade bio-čip.
Takav čip svojim "nosiocima" u toj sjevernoevropskoj zemlji omogućava da npr. plaćaju karte u prevozu elektronskim putem ili da otvaraju vrata na dodir tako što šaku samo prislone na bravu.
Mnogi su, međutim, na čipovanje pristali iz medicinskih razloga, piše Brightside. Tako je čip moguće programirati da podsjeća pacijente na termine kada treba da popiju lek, ali i na to koja je prava kutija ljekova koju bi trebalo da uzmu kako ne bi popili pogrešan lijek.
Naravno, sve bočice ili kutije moraju biti označene i "tagovane" posebnim senzorima, koji će čipu omogućiti da pacijentu pomogne da otvori odgovarajuću bočicu.
Čip ugrađen u ruku u stanju je da se ponaša i kao elektronski novčanik, pa se tako može koristiti za plaćanje dodirom umjesto platne kartice, zatim vozna karta ili kao senzor za prepoznavanje u različitim situacijama: za ulazak u zgradu, autorizaciju pristupa i slično.
Takođe, senzori omogućavaju lakše otključavanje automobila, praćenje određenih tjelesnih funkcija ili kontrolisanje uređaja u okolini.
Senzori veličine zrna pirinča, često i nevidljivi, po funkciji su pasivni, što znači da moraju da sadrže unaprijed zadate operacije ili ubačene podatke, koji kasnije mogu da se očitavaju sa njih iz neposredne blizine, koristeći se Near Field Communication (NFC) tehnologijom.
Na taj način bezbjednost podataka je donekle očuvana, budući da haker ne može da pristupi ničemu, osim podacima sa čipa. Iako to može biti kompromitujuće, kontakt sa čipom nije moguće ostvariti ukoliko se neko ne nađe u neposrednoj blizini osobe koja ima ugrađen čip i to tačno uz njegovu ruku.








