Studija koja je danas objavljena u časopisu “Sel” bazirana je na testriranju miševa, tako da će biti potrebno još mnogo eksperimenata prije nego što bude započeto testiranje na ljudima.
Ukoliko se pokaže kao uspješan ovaj pristup bi, međutim, mogao da predstavlja osnovu za jedan sasvim nov način liječenja raka.
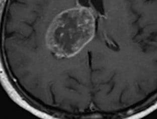
Zasad samo pet odsto pacijenata sa GBM uspijeva da preživi duže od pet godina, a prosječno očekivano vrijeme preživljavanja je 15 mjeseci. Čak i uz primjenu agresivnih terapija, ovaj vid raka je praktično neizlječiv, te stoga otkrivanje slabosti njegovih ćelija predstavlja suštinski važan korak u razvoju nove i efikasne terapije ljekovima.
Komponenta koja je privukla pažnju naučnika nazvana je “Vakinol-1” i svakako ubija ćelije raka, i to na način kakav dosad nije zabilježen. Ovi molekuli, naime, isključuju sposobnost ćelije da kontroliše šta ulazi i izlazi kroz njene ćelijske zidove, tako da se ovakve ćelije na kraju bukvalno raspadaju-rasprkavaju, a ono što je značajno jeste da okolno, zdravo tkivo pritom ostaje potpuno neoštećeno. (Blic)











